Comparative Analysis of Imaging and Pathological Features in Diagnosis of Ovarian Adult Granulosa Cell Tumor with Sarcomatoid Transformation Based on CT and Multimodal MRI
Jin Ying Lan1*, Jin Han Yang1, Dong Wu Chen2, Yuan Hui Liang3
1Department of Radiology, Guiping People's Hospital, No. 7 Renmin West Road, Guiping, Guigang, 537200, Guangxi, China
2Department of Ophthalmology, Guiping People's Hospital, No. 7 Renmin West Road, Guiping, Guigang, 537200, Guangxi, China
3Department of Pathology, Guiping People's Hospital, No. 7 Renmin West Road, Guiping, Guigang, 537200, Guangxi, China
*Corresponding author: Jin Ying Lan, Professor, Department of Radiology, Guiping People's Hospital, No. 7 Renmin West Road, Guiping, Guigang, 537200, China.
Received: 05 December 2025; Accepted: 22 December 2025; Published: 24 December 2025
Article Information
Citation: Lan JY, Yang JH, Chen DW, Liang YH. Comparative Analysis of Imaging and Pathological Features in Diagnosis of Ovarian Adult Granulosa Cell Tumor with Sarcomatoid Transformation Based on CT and Multimodal MRI. Journal of Radiology and Clinical Imaging. 8 (2025): 132-134.
View / Download Pdf Share at FacebookAbstract
Ovarian adult granulosa cell tumor (AGCT) is a rare, low-grade malignant sex cord–stromal tumor of the ovary that can occasionally exhibit sarcomatoid transformation—a rare and highly aggressive histologic subtype. The biological behavior and imaging manifestations of AGCT with sarcomatoid transformation differ markedly from those of conventional ovarian AGCT. Here, we report the imaging findings of a rare case of ovarian AGCT with sarcomatoid transformation. Integrated imaging with computed tomography (CT) and magnetic resonance imaging (MRI) demonstrated the coexistence of conventional tumor components and areas of sarcomatoid transformation within the same lesion. The sarcomatoid component exhibited more aggressive imaging features, including markedly enhancing large solid masses, extensive necrosis, T2-weighted imaging (T2WI) hypointensity, and pronounced diffusion restriction on diffusion-weighted imaging (DWI), all of which correlated closely with postoperative histopathology. Histologically, regions of conventional granulosa cell tumor contained Call-Exner bodies and relatively bland cytology, whereas the sarcomatoid areas comprised highly atypical spindle cells with increased mitotic activity, consistent with high-grade sarcoma. This case underscores the value of multimodal MRI in preoperatively identifying intratumoral heterogeneity and suggesting sarcomatoid transformation, thereby providing crucial information to guide more aggressive surgical and adjuvant treatment strategies. Although surgical resection remains the primary treatment modality, comprehensive preoperative imaging evaluation is essential. Nevertheless, there is currently limited literature on the role of preoperative multimodal MRI in diagnosing and differentiating ovarian AGCTs with sarcomatoid transformation.
Keywords
Adult Granulosa Cell Tumor (AGCT); Sarcomatoid Transformation; Computed Tomography (CT); Magnetic Resonance Imaging (MRI); Diffusion-Weighted Imaging (DWI)
Article Details
1. Background
AGCT is a rare, low-grade malignant sex cord-stromal tumor accounting for approximately 2-4% of all ovarian malignancies [1]. It is typically characterized by indolent biological behavior and a favorable prognosis [2]. However, sarcomatoid transformation in AGCT represents an exceptionally rare and highly aggressive histologic variant [3]. Following sarcomatoid transformation, the tumor exhibits notable increases in proliferative activity and metastatic potential, often altering the clinical course and substantially worsening prognosis. Two principal challenges confront current clinical management [4]. First, the rarity of AGCT with sarcomatoid transformation leads to limited clinical recognition and frequent misdiagnosis as primary ovarian sarcoma or other sarcomatoid carcinomas, which can compromise therapeutic decision-making. Second, conventional imaging modalities often lack sufficient sensitivity to reliably identify high-risk transformation foci preoperatively. While classic AGCT typically presents as cystic–solid masses with mild-to-moderate enhancement, regions of sarcomatoid transformation may display more aggressive radiologic features, including pronounced diffusion restriction on diffusion-weighted imaging (DWI) and increased vascularity. Failure to detect these transformed components preoperatively may result in suboptimal surgical resection when treatment is guided by a diagnosis of conventional AGCT, with an elevated risk of residual disease and recurrence. Therefore, this study aims to perform a systematic comparative analysis of preoperative CT and multimodal MRI findings—including DWI and dynamic contrast-enhanced (DCE) MRI—against postoperative histopathology in AGCT cases with sarcomatoid transformation. The primary objective is to identify imaging biomarkers with high diagnostic specificity and to develop a robust preoperative predictive model. Such a model would provide critical imaging evidence to support accurate preoperative diagnosis, guide individualized surgical planning and facilitate prognostic evaluation.
2. Case Report
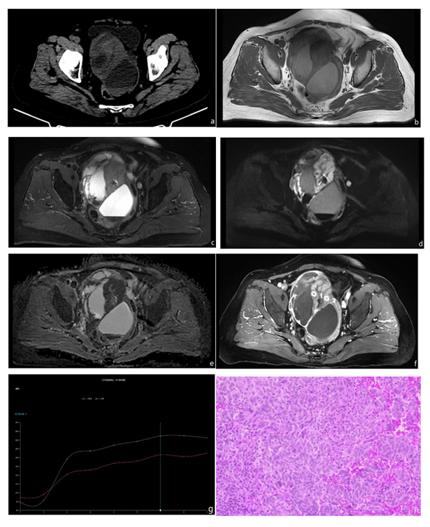
A 71-year-old woman presented with more than two years of upper abdominal pain. Her medical history included hysterectomy for uterine fibroids. On pelvic examination, the uterus was absent, there were no masses at the vaginal cuff, and a firm, poorly mobile, non-tender mass was palpated in the pelvic cavity. Laboratory tests showed an elevated CA125, while liver and renal function, as well as Alpha-fetoprotein (AFP), Carcinoembryonic antigen (CEA), CA19-9, CA15-3, and HE4 levels, were within normal ranges. CT revealed a large cystic–solid mass in the right adnexal region with a fluid-fluid level suggestive of intratumoral hemorrhage (Figure 1a). MRI confirmed a large complex cystic–solid lesion in the same region. On T1-weighted imaging (T1WI), the mass displayed heterogeneous signal intensity with mixed iso- and hyperintense areas (Figure 1b). T2-weighted imaging (T2WI) and fat-suppressed T2WI showed markedly heterogeneous signals across high, intermediate, and low intensities, with a fluid-fluid level consistent with hemorrhage (Figure 1c). Diffusion-weighted imaging (DWI) with b-values of 50 and 800 s/mm² demonstrated progressive hyperintensity in the solid components (Figure 1d), with corresponding hypointensity on the apparent diffusion coefficient (ADC) map, indicating restricted diffusion; the cystic portions did not restrict diffusion. Persistent hypointense areas and the fluid-fluid level within the lesion supported a hemorrhagic cystic–solid tumor (Figure 1e). Dynamic contrast-enhanced (DCE) MRI showed abundant tumor vascularity with rapid early enhancement and persistent enhancement (Figure 1f), and the time–intensity curve was type II (Figure 1 g). The patient underwent laparotomy for the right adnexal region. The uterus and left adnexal region were absent, and a large right adnexal cystic–solid mass, measuring approximately 10.5 cm in diameter, was identified. Histopathology demonstrated ovarian adult granulosa cell tumor with sarcomatoid transformation (Figure 1h).
Figure 1: Ovarian adult granulosa cell tumor with sarcomatoid transformation. a CT showed a large cystic-solid mass in the right adnexal region, containing a fluid-fluid level suggestive of intratumoral hemorrhage. b On T1WI sequences, the mass demonstrated heterogeneous signal intensity with mixed isointense and hyperintense areas. c T2WI and fat-suppresse T2WI sequences showed markedly heterogeneous signals comprising high, intermediate, and low intensities, along with a fluid-fluid level, further supporting the presence of hemorrhage. d DWI with b-values of 50 and 800 showed that the solid components of the tumor exhibited progressive hyperintensity. e The ADC showed that the solid component of the tumor was a low signal, In contrast, the cystic portions showed no diffusion restriction. Persistent hypointense areas and a fluid-fluid level within the lesion were consistent with a hemorrhagic cystic-solid tumor. f DCE scanning showed the blood supply of the tumor region was abundant, and it was obviously enhanced in the early stage and continuously. g The dynamic enhanced scan curve showed a type II time-intensity curve. h The pathology results showed that the tumor cells were of varying sizes, with oval, spindle-shaped or irregular nuclei, characteristic Call-Exner bodies, and abundant cytoplasm that was acidic and presented a watery-like or irregular arrangement
3. Discussion
AGCT is a rare, low-grade malignant sex cord-stromal tumor [1]. When accompanied by sarcomatoid transformation, it represents a rare and highly aggressive histologic variant [3]. This combination alters the tumor’s biological behavior and imaging manifestations, which differ markedly from those of classical ovarian AGCT [2]. Integrated imaging modalities, including CT and multimodal MRI, can reveal coexistence of conventional AGCT components and areas of sarcomatoid transformation within the same lesion. The sarcomatoid elements tend to exhibit more aggressive imaging features, such as markedly enhancing large solid masses, extensive necrosis, T2-weighted image (T2WI) hypointensity, and pronounced diffusion restriction on diffusion-weighted imaging (DWI), with findings that closely correlate with postoperative pathology. Histologically, regions of conventional AGCT show Call-Exner bodies and relatively bland cytomorphology, whereas the sarcomatoid areas consist of highly atypical spindle cells with increased mitotic activity, consistent with high-grade sarcoma [4]. This case highlights the value of multimodal MRI in preoperatively identifying intratumoral heterogeneity and suggesting sarcomatoid transformation, thereby guiding more aggressive surgical and adjuvant therapies. When preoperative imaging reveals substantial intratumoral heterogeneity or locally aggressive features, the possibility of sarcomatoid transformation should be considered, and extensive pathological sampling is recommended to confirm the diagnosis. Although surgical resection remains the mainstay of treatment, thorough preoperative imaging evaluation is essential [5]. Nonetheless, literature on the use of preoperative multimodal MRI for diagnosing and differentiating ovarian AGCT with sarcomatoid transformation remains scarce [6].
4. Author Contributions
All authors contributed to the study conception and design. Material preparation, data collection and analysis were performed by Jin Ying Lan, Jin Han Yang, Dong Wu Chen and Yuan Hui Liang. The first draft of the manuscript was written by Jin Ying Lan, Jin Han Yang and Dong Wu Chen, and all authors commented on previous versions of the manuscript. All authors read and approved the final manuscript.
5. Statements:
All authors have read and agreed to the published version of the manuscript.
6. Conflict of Interest:
The authors declare no conflict of interest.
7. Funding:
The authors received no financial support for the research, authorship, and/or publication of this article.
8. Acknowledgements:
The authors would like to thank the Department of Radiology at Guiping People's Hospital.
References
- Li X, Tian B, Liu M, Miao C, Wang D. Adult-type granulosa cell tumor of the ovary. Am J Cancer Res 12 (2022): 3495-3511.
- Guerrieri C, Hudacko R, Anderson P. Composite FOXL2 Mutation-positive Adult Granulosa Cell Tumor and Serous Borderline Tumor of the Ovary. Int J Gynecol Pathol 42 (2023): 500-507.
- Mubeen A, Martin I, Dhall D. High-grade Transformation in Adult Granulosa Cell Tumor: Potential Diagnostic Challenges and the Utility of Molecular Testing. Int J Surg Pathol 30 (2022): 668-672.
- Mendelson J, Babajanian M, Brenseke W, Bhandari S, Gitlin J. Adult-Type Granulosa Cell Tumor of the Testis in a 16-Year-Old: A Case Report and Review of the Literature. Urology 190 (2024): e21-e23.
- Fang M, Dong J, Zhong Q, et al. Value of diffusion-weighted imaging combined with conventional magnetic resonance imaging in the diagnosis of thecomas and their differential diagnosis with adult granulosa cell tumors. Acta Radiol 60 (2019): 1532-1542.
- Causa-Andrieu P, Nicola R, Lipsich F, et al. Characterization of Ovarian Granulosa Cell Tumors using Magnetic Resonance Imaging. Med Res Arch 10 (2022):10.18103/mra.v10i6.2813.

