Regenerative Protocol for Ligamentous Defects in Patients with Sinus Tarsitis: A Case Series
Robert Parker DPM, FACFAS, FAENS1, John Shou2, Crislyn Woods2, Naomi Lambert2*, Tyler Barrett2
1Parker Foot and Ankle, Houston, TX, USA
2Regenative Labs, 1700 W Main St, Pensacola, FL 32502, USA
*Corresponding author: Naomi Lambert, Regenative Labs, 1700 W Main St, Pensacola, FL 32502, USA.
Received: 03 October 2025; Accepted: 10 October 2025; Published: 21 October 2025
Article Information
Citation: Robert Parker, John Shou, Crislyn Woods, Naomi Lambert, Tyler Barrett. Regenerative Protocol for Ligamentous Defects in Patients with Sinus Tarsitis: A Case Series. Archives of Clinical and Biomedical Research. 9 (2025): 419-423.
View / Download Pdf Share at FacebookAbstract
Heel pain in the “funnel-shaped” space between the calcaneus, talus, and talocalcaneonavicular and subtalar joints may be representative of Sinus Tarsi syndrome. The pain is often characterized by a burning, numbness, or tingling sensation that can stem from strains and tears in the ligaments in that area. Injury treatment typically includes balance training, muscle exercises, bracing, foot orthosis, and non-steroidal antiinflammatory drugs (NSAIDs). This study presents a regenerative protocol highlighting extracorporeal pulse-activated therapy (EPAT), Wharton Jelly (WJ) tissue allografts, laser therapy, and orthotics as an alternative intervention for patients who fail standard-care treatments. WJ replaces damaged tissue, unlike other therapies, which aim to reduce swelling and symptomatic pain. This study includes five female patients who have previously failed standard-of-care treatment. After an average of 80 days, the cohort reported an overall 85.29% improvement in pain. The study's limitations include a small cohort size and a non-blinded design. Given the significant improvement in pain, WJ tissue allograft, combined with other techniques, presents a promising patient care plan for tissue defects associated with Sinus Tarsi syndrome when standard-of-care treatments fail. These results provide preliminary evidence for a more extensive, randomized study to define dosage protocols further and confirm safety and efficacy.
Keywords
Umbilical cord tissue; Sinus tarsitis; Ligament injuries; Wharton’s jelly
Umbilical cord tissue articles; Sinus tarsitis articles; Ligament injuries articles; Wharton?s jelly articles
Article Details
1. Introduction
Sinus Tarsi syndrome is a condition that presents as lateral midfoot heel pain, located in the “funnel-shaped” space between the calcaneus, talus, and talocalcaneonavicular and subtalar joints [1]. Patients with sinus tarsi syndrome generally complain of instability with functional activities and persistent anterolateral ankle discomfort [2]. The instability occurs when the associated ligaments are damaged or ruptured; compression of the sinus tarsi area elicits acute pain. Also, patients will frequently describe aching pain while lying on their back with their foot plantar flexed and inverted. Recent literature describes the instability primarily stemming from ligamentous injuries, inflammation from damage to the synovium, and fibrotic tissue infiltration of the subtalar joint space [2]. For decades, Parker Foot and Ankle have studied the innervations of the sinus tarsi and found that not only the superficial fibular but also the deep fibular nerve innervates the sinus tarsi area in the subtalar area with multiple branches. Injury in this area creates nerve pain, frequently experienced by patients as burning, numbness, and tingling. However, the most common and dependable clinical finding is a positive provocation sign on direct pressure at the sinus tarsi.
The incidence rate of sinus tarsi syndrome is unknown, but it is proposed that a large percentage of reported ankle sprain injuries include an injury to the subtalar joint ligaments [3]. Treatment recommendations include balance and proprioceptive training, muscle strengthening exercises, bracing, taping, and foot orthosis. Our experience has been that the cavus foot type and the functional hallux limitus foot type are common contributors to creating sinus tarsitis. Careful design of biomechanical orthotics such as those modified with zero heel posts with appropriate forefoot valgus posting or kinetic wedge posting respectively, may be of benefit. These treatments aim to stabilize the foot and allow the ligament to heal naturally. However, as an individual ages, the body’s repair system diminishes. A study conducted on the posterior cruciate ligament (PCL) reconstruction indicated that patients over 50 years old had an increased failure rate [4]. NSAIDs are often used to help with pain management. They function to decrease swelling and relieve pain, but they do not address the root problem. Long acting (acetate) steroid injections function somewhat better to reduce pain and swelling. With a relatively short efficacy period, several injections are often required and cannot be repeated more frequently than three four times a year, ultimately decreasing the cost-efficiency of the treatment. For patients who fail standard-care therapies and rehabilitation, the option of arthroscopy exists for a more precise examination of the joint and to allow for surgical treatment [5]. While surgery can be effective, it is invasive, can lead to complications, and the mean return to total activity is four months.
Given that there is no single, optimal treatment option for sinus tarsi, there is a need for alternative interventions. Other conservative methods focus on symptomatic pain reduction as well as anti-inflammatory purposes. The application of Wharton’s jelly (WJ) to the damaged ligaments in this retrospective study provides substantial support directly to the ligaments affected in the sinus tarsi [6]. WJ is a loose connective tissue found in the umbilical cord that cushions and protects the vessels within the cord from external forces and stretching. It contains collagen types I and III, hyaluronic acid, proteoglycans, growth factors, and cytokines that supplement the damaged tissue. Current literature reports on the efficacy of using WJ to supplement structural defects of like tissues around the body. This protocol presents the combination of extracorporeal pulse-activated therapy (EPAT), laser therapy, and orthotics with WJ allografts to address all symptoms and root causes of sinus tarsi syndrome of five females who have all failed previous standard-care treatments.
2. Materials and Methods
All methods complied with the FDA and American Association of Tissue Banks (AATB) standards. This study was conducted under an Institute of Regenerative and Cellular Medicine IRB-approved protocol (RL-UCT-001), and informed consent was obtained from the study participants. The Wharton’s jelly tissue allografts were processed and distributed by Regenative Labs. WJ is a minimally manipulated allograft tissue for homologous use only. FDA guidelines specify minimal manipulation, as a human tissue product is not combined with any article except saline and FDA-approved cryopreservatives. The specific allograft used was 1cc of CryoText Plus, containing 50 mg of WJ tissue (Regenative Labs, Pensacola, FL). Patient recruitment, allograft application, and patient tracking were performed at Parker Foot and Ankle.
2.1 Case Presentation
This study consists of five female patients with either left or right foot pain in the sinus tarsi aspect of the foot. All of the patients have failed previous standard-of-care treatments which could have included perscription or over the counter pain medication, physical therapy, or corticosteroid injections. Two patients presented with right-sided pain, and three with left-sided pain. The age distribution of the cohort ranged from 50 to 72 years old. Each individual received EPAT, a single application of CryoText Plus, class IV laser therapy, and a pneumatic boot.
2.2 Procedure
Local anesthesia is not desirable in the immediate area of the tissue allograft. Thus, proximal blocks of the deep fibular nerve, superficial fibular nerve, and sural nerve were performed above the ankle. Before applying the tissue allograft, patients received EPAT at approximately 11 Hz, 3.0 bars, and 3300 pulses to the affected tissue. While the patients received EPAT, the cryopreserved WJ tissue allograft was thawed in a 35-degree bath per laboratory guidelines. A single application of 1cc WJ allograft was transplanted along the sinus tarsi and sinus canalis throughout the inflamed tissue. During the WJ application, a “pin cushion” needling technique was utilized to evenly distribute the tissue and enhance neovascularization throughout Hoke’s Tonsil and sinus tarsi area. After the application, two of the five patients were placed in a prefabricated Pneumatic Ankle-Foot Orthosis (Aircast foam walker) or continued with orthotics or biomechanical control. All patients were scheduled twice weekly for class IV laser therapy sessions for the two weeks following the tissue supplementation to provide photobiomodulation as a tissue healing stimulation modality. All patients were prescribed optional non-anti-inflammatory medication to help combat discomfort and instructed to avoid high-impact activities for at least eight weeks. After the initial application and two weeks of laser therapy, all individuals were assessed at a follow-up visit approximately 80 days after the WJ application to evaluate pain improvement via a visual analog scale (VAS).
3. Results
The cohort’s initial average visual analog scale (VAS) score was 6.8, with a final VAS average of 1. The cohort had an overall 85.29% improvement in pain after an average of 80 days from the initial application to the final follow-up date. In just 47 days, one patient had a pain improvement of 85%, and another improved 75% in the same amount of time. All patients reported an improvement in pain (Figure 1). The least improved patient had an improvement of 75%. No adverse reactions were reported. The Wilcoxon Signed Rank test was used to determine any statistical significance between initial and final scores (Table 1).
|
pre-post |
|
|
z |
-2.38 |
|
Asyp.sig. (2-tailed) |
0.017 |
|
r |
-0.645 |
Table 1: Test statistics for the Wilcoxon Signed Rank Test.
4. Discussion
The results presented in this study report significant pain improvement within a small cohort of females presenting with tissue defects to the sinus tarsi with a p-value of 0.017 and a strong effect size of r = -0.645. This cohort reflects a portion of the population with sinus tarsi defects that could benefit from the use of a multifaceted regenerative protocol. Preliminary data are limited by a small cohort size along with a non-blinded design. The results of this study warrant continued research on more extensive and diverse cohorts to evaluate further the safety and efficacy of WJ in combination with EPAT, laser therapy, and a pneumatic boot to address tissue defects associated with sinus tarsi. Each modality used in this study has an independent function and has been tested independently to show improvement in a patient’s path to recovery.
EPAT has been reported to have successful outcomes in treating Achilles tendinopathy in a study completed by Saxena, which included 60 patients who received EPAT treatment for three weeks [7]. This study discovered that 78.38% of tendons showed clinically significant improvement by at least one year post-treatment. Another study by Furia, with 35 patients, produced similar results, stating that 83% of the cohort had shown successful results [8]. This study also identified that local field anesthesia may decrease the effectiveness of the EPAT procedure. Current literature agrees that EPAT is an effective technique in relieving pain and has the potential to promote exponential pain improvement associated with sinus tarsi defects when used in conjunction with WJ. After the EPAT and WJ Application, each patient received class IV laser therapy, which has been shown to reduce pain and inflammation and improve tissue quality. It can also decrease erythrocyte deformability and platelet coagulation, resulting in membrane revitalization, viscosity reduction, and erythrocyte stress adaptation [9]. Brandl found that blood flow increased significantly by 86.38 arbitrary units [9]. Decreasing erythrocyte deformability and platelet coagulation allows for more effective blood flow, which allows the body’s natural healing factors to be administered at a quicker rate, ultimately improving patient recovery. The final aspect of the multi-modality patient care protocol is the pneumatic boot application and orthotics. The boot and orthotics function to stabilize and limit the range of motion to allow for safe and effective recovery while preventing further injury. While all care methods used have evidence of success when used independently, the protocol presented in this study was designed to maximize patient recovery by combining the benefits of each therapy for a higher success rate of patients who perceived pain improvements.
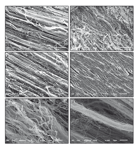
Figure 2: Scanning electron micrographs of the peroneus longus tendon of an adult cadaver (A, C, E) and elderly cadaver (B, D, F). High-density collagen fibers in a parallel alignment (A), thick linear collagen bundles (C), and coiled collagen fibrils in the tendon (E) were shown in the adult cadaver, whereas the collagen found in the tendon of the elderly appeared disorganized (B), fragmented (D) and had straight collagen fibrils (F) (11).
In addition to patient-reported improvement, the ultrastructure of the ligament and WJ tissue allografts can be observed for homologous structures. In ligaments, collagen accounts for 80% of the dry weight, primarily collagen I and III [10]. A study by Niyomchan et al. [11] in 2018 histologically evaluated the musculotendinous junction, specifically the peroneus muscle and tendon. While tendons and ligaments have a slightly different organization in fibers, similarities in biomechanics (high tensile strength) and composition (predominantly collagen I) are shown [10]. Niyomchan et al. [11] revealed that alterations of the matrix contents were age-related, observing a reduction in intra-molecular cross-links and advanced glycation accumulation, as pictured below the scanning electron microscopy (SEM) imaging in Figure 2 [11]. WJ’s composition of collagen I, III, and V (Figure 3) is a vital part of tendons and ligaments and can be applied to the area of defect, supplementing the damaged tissue [12,13]. WJ, being composed primarily of collagen, hyaluronic acid, proteoglycans, growth factors, and other GAGs, provides the necessary extracellular matrix to replace degenerated tissue and support the patient's repair system to regenerate stronger collagen fibers. Evidence from current literature supports the effectiveness of WJ in addressing structural defects in various anatomical regions, such as the knee and shoulder [14,15]. The results from this case series reflect the positive outcomes seen in similar WJ applications.
Singular Wharton’s Jelly allograft applications have shown success in patient care, but other conservative practices may be used in combination with WJ to maximize outcomes. This study has demonstrated preliminary evidence that combining EPAT, WJ allografts, and class IV laser therapy is a safe and viable alternative when other standard-of-care practices fail. Further research with a larger cohort can evaluate the safety and efficacy of Wharton’s jelly alongside EPAT and class IV therapies to assist in defining the dosage and timing of protocols.
5. Conclusions
This study exemplifies significant improvement in VAS scores of patients with sinus tarsi ligament defects after applying WJ allografts with EPAT, laser therapy, orthotics, and a pneumatic boot. The results align with other literature's positive outcomes regarding each element used in the care procedure as stand-alone applications. Additional studies regarding the use of WJ for sinus tarsi ligament defects could be completed to compare the efficacy of WJ to standard-care treatments and surgery. A more extensive, more diverse, and randomized study would be beneficial in future studies to define dosage protocols for a multimodal regenerative approach to defects of the sinus tarsi.
Author Contributions:
Conceptualization, R.P., J.S. and T.B.; methodology, R.P.; software, T.Y.; validation, N.L., C.W. and T.Y.; formal analysis, N.L., C.W.; investigation, R.P.; resources, N.L., C.W.; data curation, R.P.; writing—original draft preparation, R.P., N.L., C.W.; writing—review and editing, R.P., N.L., C.W.; visualization, R.P., N.L., C.W.; supervision, J.S., T.B.; project administration, T.B.; funding acquisition, R.P., T.B. All authors have read and agreed to the published version of the manuscript.
Funding:
This research received no external funding.
Institutional Review Board Statement:
The study was conducted in accordance with the Declaration of Helsinki, and approved by the Institutional Review Board of the Institute of Regenerative and Cellular Medicine (protocol code IRCM-2022-311 and approved on 12 January 2022).
Informed Consent Statement:
Written informed consent has been obtained from the patient to publish this paper.
Data Availability Statement:
Raw data is available upon request.
Acknowledgements:
The authors would like to thank Stacy, Laura, and Greta at Parker Foot and Ankle for their contributions to data collection and filing.
Conflicts of Interest:
The authors declare no conflict of interest.
References
- Tu P, Bytomski JR. Diagnosis of heel pain. Am Fam Physician 84 (2011): 909-916.
- Helgeson K. Examination and intervention for sinus tarsi syndrome. N Am J Sports Phys Ther 4 (2009): 29-37.
- Hubbard TJ, Hertel J. Mechanical contributions to chronic lateral ankle instability. Sports Med 36 (2006): 263-277.
- Yoon KH, Lee HS, Jung C, et al. The effect of aging on outcomes after posterior cruciate ligament reconstruction: older versus younger patients. Clin Orthop Surg 15 (2023): 928-934.
- Oloff LM, Schulhofer SD, Bocko AP. Subtalar joint arthroscopy for sinus tarsi syndrome: a review of 29 cases. J Foot Ankle Surg 40 (2001): 152-157.
- Gupta A, El-Amin SF 3rd, Levy HJ, et al. Umbilical cord-derived Wharton’s jelly for regenerative medicine applications. J Orthop Surg Res 15 (2020): 49-55.
- Saxena A, Ramdath S Jr, O’Halloran P, et al. Extra-corporeal pulsed-activated therapy for Achilles tendinopathy: a prospective study. J Foot Ankle Surg 50 (2011): 315-319.
- Furia JP. High-energy extracorporeal shock wave therapy as a treatment for insertional Achilles tendinopathy. Am J Sports Med 34 (2006): 733-740.
- Brandl A, Egner C, Reisser U, et al. Influence of high-energy laser therapy to the patellar tendon on its ligamentous microcirculation: an experimental intervention study. PLoS One 18 (2023): 1-10.
- Hudson DM, Archer M, Rai J, et al. Age-related type I collagen modifications reveal tissue-defining differences between ligament and tendon. Matrix Biol Plus 12 (2021): 100070.
- Niyomchan A, Panichareon B, Siriphorn A, et al. Age-related structural-mechanical property changes in human peroneus longus muscle. Folia Morphol (Warsz) 78 (2019): 401-407.
- Davis JM, Purita JR, Shou J, et al. Three-dimensional electron microscopy of human umbilical cord tissue allograft pre and post processing: a literature comparison. J Biomed Res Environ Sci 3 (2022): 934-940.
- Sobolewski K, Bańkowski E, Chyczewski L, et al. Collagen and glycosaminoglycans of Wharton’s jelly. Biol Neonate 71 (1997): 11-21.
- Davis JM, Sheinkop MB, Barrett TC. Evaluation of the efficacy of cryopreserved human umbilical cord tissue allografts to augment functional and pain outcome measures in patients with knee osteoarthritis: an observational study. Physiologia 2 (2022): 109-120.
- Lai A, Tamea C, Shou J, et al. Safety and efficacy of Wharton’s jelly connective tissue allograft for rotator cuff tears: findings from a retrospective observational study. Biomedicines 12 (2024): 710-718.



